Városlista
2026. április 22, szerda - Csilla

Hírek

2018. November 05. 09:54, hétfő | Külföld
Forrás: mti - illusztráció

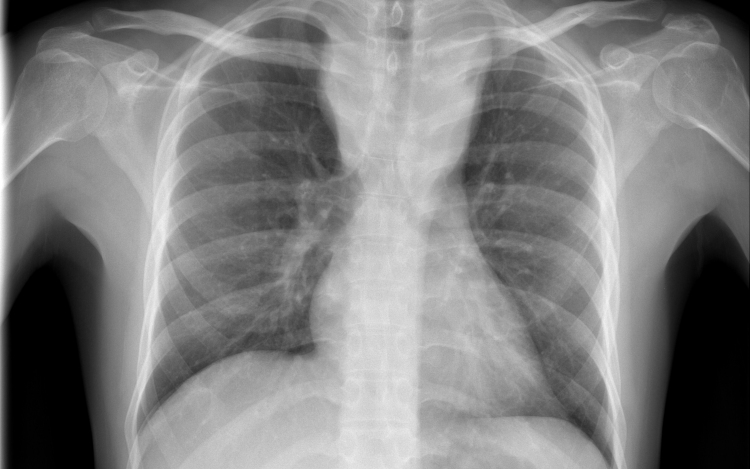
Tüdőrákban halt meg egy szervátültetett, aki egy erős dohányos tüdejét kapta meg

Tüdőrákban halt meg egy szervátültetett, aki egy erős dohányos tüdejét kapta meg

Tüdőrákban halt meg a transzplantáció után másfél évvel egy francia nő, akibe egy hajdan erős dohányos nő tüdejét ültették át.

A Lunc Cancer szakfolyóiratban megjelent tanulmány szerint az 57 évesen elhunyt donor 30 éven át napi egy doboz cigarettát szívott el.

A gyermekkora óta cisztás fibrózisban szenvedő páciens 2015 novemberében kapta meg a sokáig erősen dohányzó nő tüdejét, 2017 júniusában pedig bekerült a montpellier-i egyetemi klinikára, ahol két hónappal később elhunyt tüdőrákban, anélkül, hogy bármiféle terápiát alkalmazhattak volna nála. A tanulmány szerint a páciens a dohányzás okozta tüdőrák jellegzetes tüneteit mutatta.

A transzplantáció és a tüdő első rendellenességeinek röntgen általi észlelése közti rövid idő arra utal, hogy a tüdőrák már a donornál keletkezett, a szervkilökődés megakadályozására szedett immungyengítő gyógyszerek pedig csak felgyorsították a kifejlődését.

A tüdőrák hosszú lappangási idejére tekintettel a kutatók különleges elővigyázatosságot ajánlanak a dohányzó donoroktól származó szervek átültetésénél olyan esetekben, amikor a donor csak nem sokkal a transzplantáció előtt hagyott fel a dohányzással.

Címkék: tüdő, tüdőrák

Ezek érdekelhetnek még

2026. Április 21. 14:00, kedd | Külföld

Kínai elnök: biztosítani kell a hajózás zavartalanságát a Hormuzi-szorosban

A hajóforgalom zavartalan fenntartására szólított fel a Hormuzi-szorosban Hszi Csin-ping kínai elnök, aki hétfőn telefonon egyeztetett Mohammed bin Szalmán szaúdi trónörökössel - jelentette a kínai állami média hétfőn.

2026. Április 19. 10:00, vasárnap | Külföld

Iráni konfliktus - Donald Trump megerősítette, hogy Irán ismét megpróbálta lezárni a Hormuzi-szorost

Donald Trump amerikai elnök megerősítette szombaton, hogy Irán ismét megpróbálta lezárni a Hormuzi-szorost, miközben tartanak a tárgyalások Washington és Teherán között.

2026. Április 18. 15:00, szombat | Külföld

Uniós szóvivő: jelenleg nincs üzemanyaghiány az Európai Unióban

Jelenleg nincs üzemanyaghiány az Európai Unióban, az Európai Bizottság azonban felkészül a repülőgép-üzemanyagok esetleges, továbbra is aggodalomra okot adó ellátási hiányára

2026. Április 18. 08:32, szombat | Külföld

Donald Trump: Irán vállalta, hogy soha többé nem zárja le a Hormuzi-szorost

Irán beleegyezett abba, hogy soha nem zárja le újból a Hormuzi-szorost - írta Donald Trump amerikai elnök közösségi oldalán pénteken.